close
就在2009/3/30晚上,上帝請了他的天使捎了一個訊息給我.
當天晚上,我的天使輕輕的拿了一盒看似溫度計的精品禮物,有點不安的告訴我"慢了二個禮拜"結果可想而知,當她洗完澡,急急忙忙的跑來告訴我...老公.你來看一下.快一點
一到浴室,那只看似溫度計的精品在上面的視窗中顯示出二條紅色的平行線條,此時耳邊隱約聽到小孩子玩耍吵鬧的聲音.還一邊可愛的叫著爸爸....
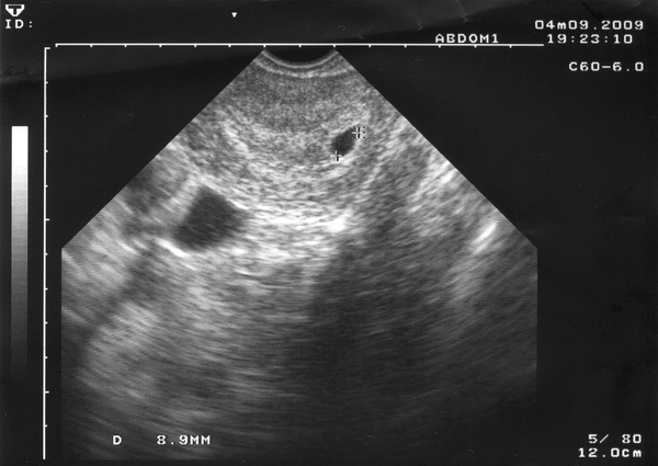
沒錯,我的第二個小孩來臨了.就在媽媽的肚子裡,第二天2009/3/31我的天使到了醫院再做一次確認,直到今天已經長大到了快一公分了哦.我試圖在網路上留下記錄,能在未來和我的天使及小天使一起找回當時悸動,讓這份記憶不要隨著時間而淡逝.就讓大家先看看上帝送的小天使,在他還沒變身成惡魔前
全站熱搜


留言列表
